Оцените подозрительность очагов в простате по МРТ. Выберите зону, затем уровень для каждого критерия (1-5). Общий score рассчитается автоматически.
Peripheral Zone (PZ)
Нормальная диффузия
Слабая гиперинтенсивность
Очаг гипоинтенсивен на ADC, изо- или гиперинтенсивен на DWI. Либо сильно гипоинтенсивен на ADC, либо сильно гиперинтенсивен на DWI, но не одновременно и там и там.
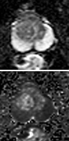
Очаг выраженного ограничения диффузии (гипо- на ADC, гипер- на DWI), менее 1.5 см
То же что и PIRADS 4, только размером более 1.5см
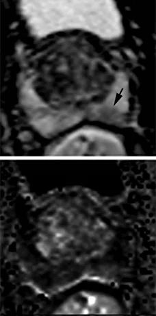
Нет раннего накопления контрастного препарата, или диффузное мультифокальное накопление, не соответствующее очагу на Т2 и DWI
Раннее накопление контрастного препарата (раньше или одновременно с нормальной тканью железы), соответствует очагу на Т2 и DWI
Transition Zone (TZ)
Нормальная ткань или круглый, полностью инкапсулированный узел (типичный узел)
Инкапсулированный узел или однородный ограниченный узел без капсулы («атипичный узел»), либо однородная гипоинтенсивная зона между узелками.
Неоднородная зона с нечеткими краями, все то, что не подходит в PIRADS 1-2 или 4-5
Вытянутой формы или не ограниченная гипоинтенсивная гомогенная зона, менее 1.5см
То же что и PIRADS 4, только размером более 1.5см или с распространением за пределы простаты
Нормальная диффузия
Слабоинтенсивное ограничение диффузии
Ограничение диффузии: гипоинтенсивный на ADC и гиперинтенсивный на DWI.
Выраженное ограничение диффузии, очаг меньше 1.5 см
То же что и PIRADS 4, только размером более 1.5см или с распространением за пределы простаты
Общий PI-RADS Score:
Раздел
T2W
DWI
DCE
-
-
-
-
Изображения и информация взяты из: Turkbey B, et al. Prostate Imaging Reporting and Data System Version 2.1: 2019 Update of Prostate Imaging Reporting and Data System Version 2. Eur Urol. 2019 Mar 18 и http://www.esur.org/esur-guidelines/prostate-mri/